世界的実績がある「クリアコレクト」
症例数十勝No.1

- 前歯だけ等「部分矯正」も対応
- 「後戻り矯正」にも対応
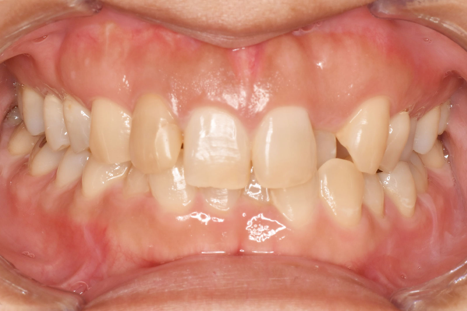
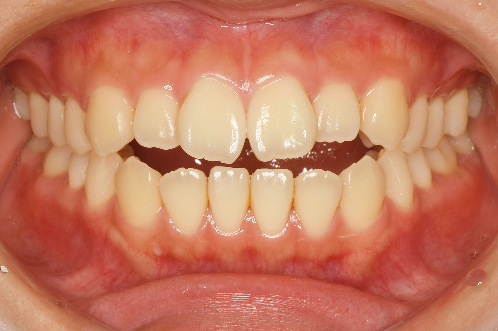
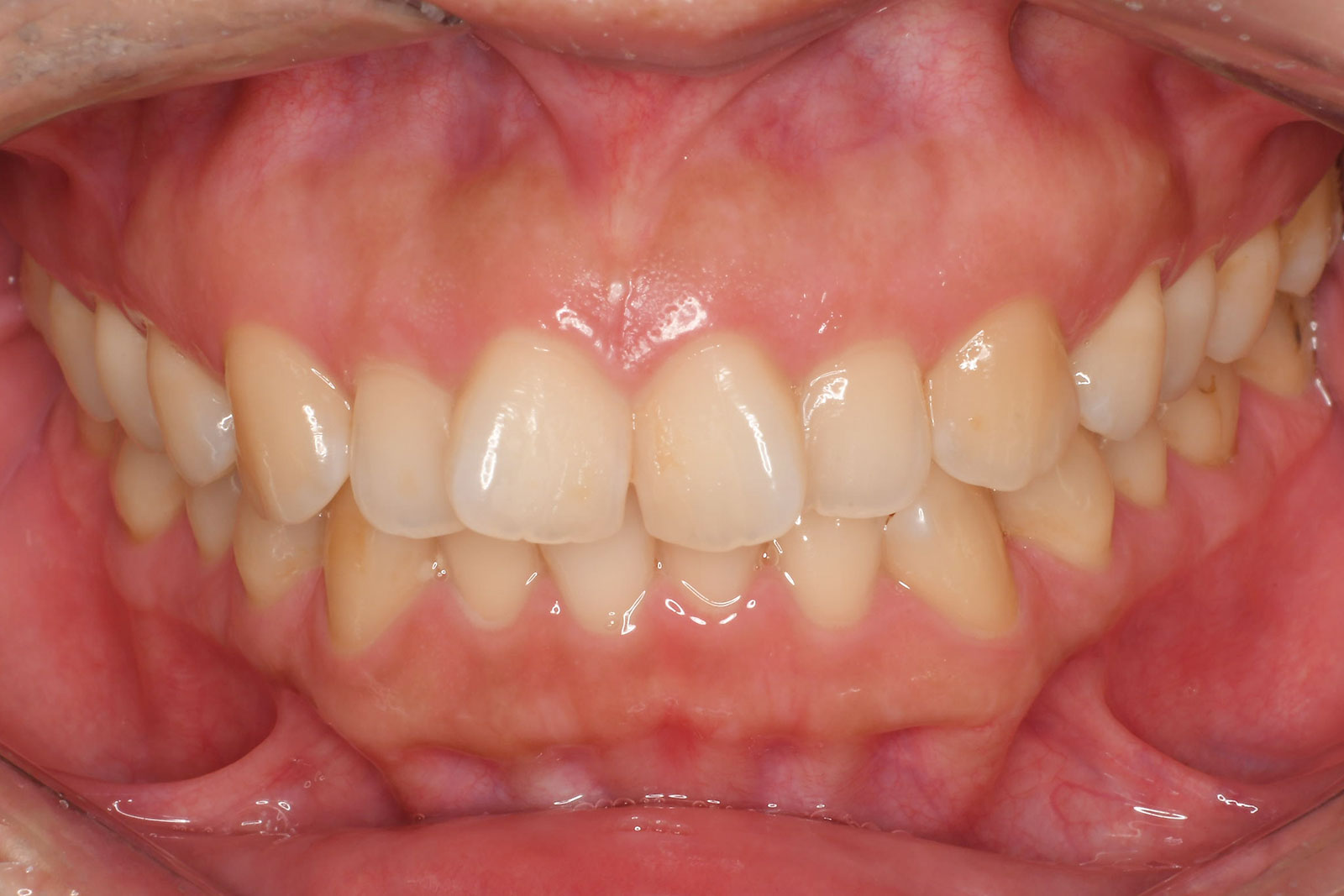
クリアコレクトで歯並びを整えたケース。
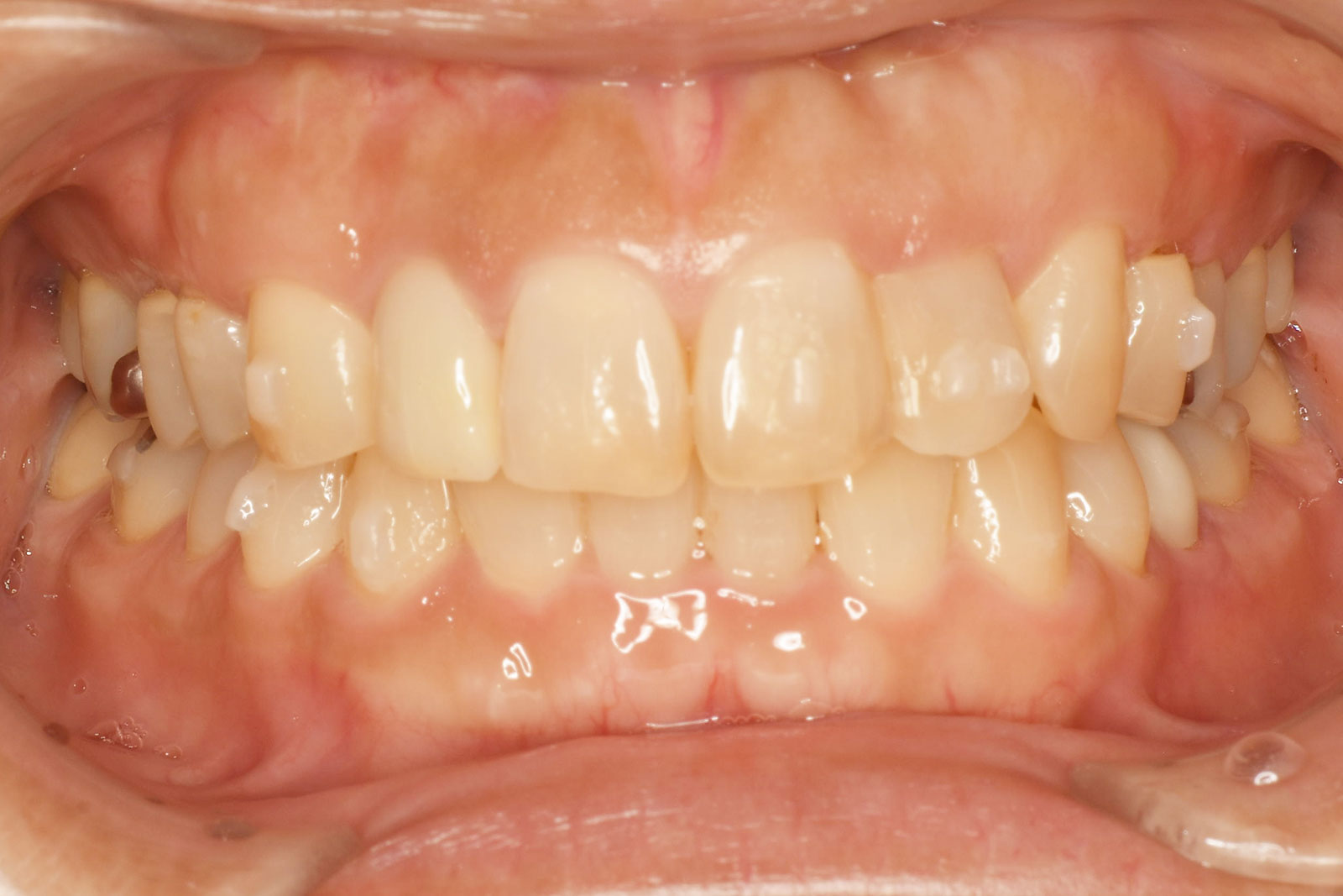
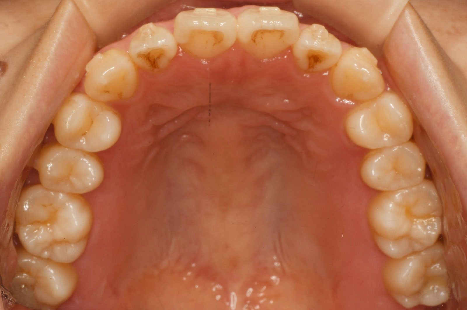
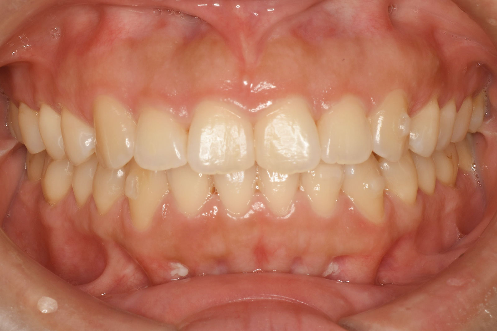
クリアコレクトで歯並びを整えたケース。
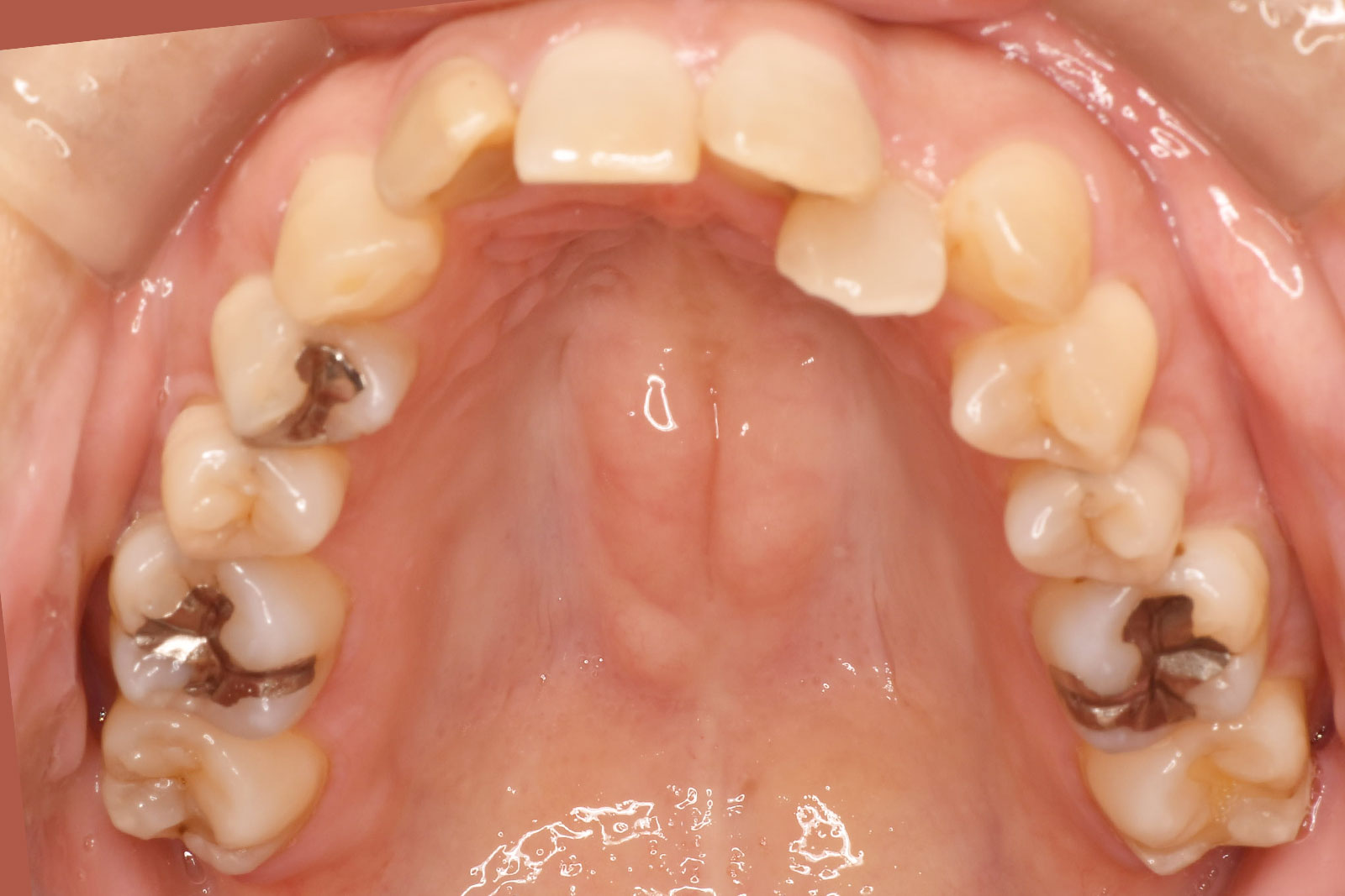
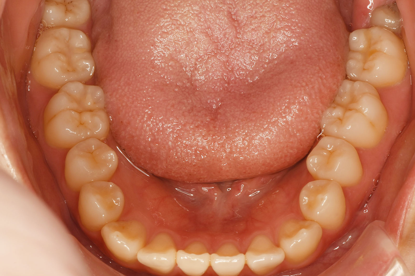
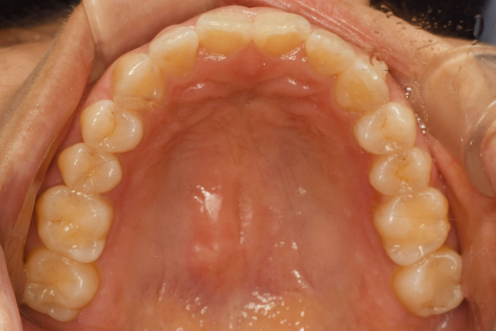
クリアコレクトで歯並びを整えたケース。
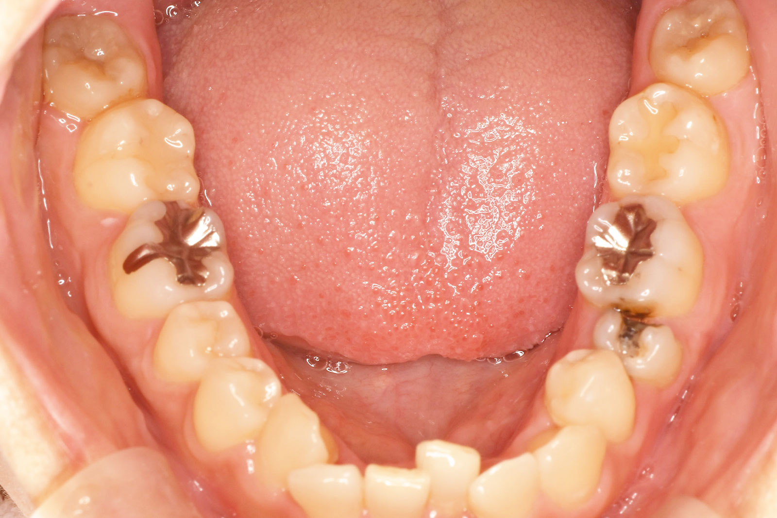
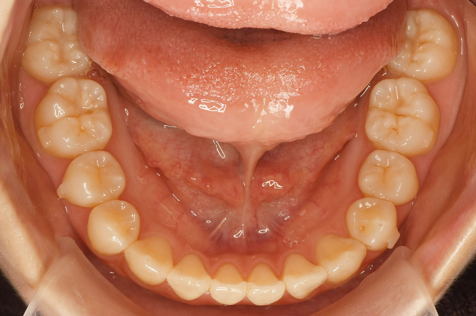
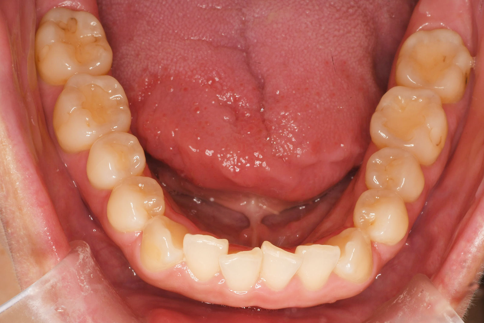
クリアコレクトで歯並びを整えたケース。
クリアコレクトで歯並びを整えたケース。
クリアコレクトで歯並びを整えたケース。
クリアコレクトで歯並びを整えたケース。
クリアコレクトで歯並びを整えたケース。
クリアコレクトで歯並びを整えたケース。
クリアコレクトで歯並びを整えたケース。
クリアコレクトで歯並びを整えたケース。
クリアコレクトで歯並びを整えたケース。
















































